Experimental gene therapy for giant axonal neuropathy shows promise in NIH clinical trial
Wednesday, March 20, 2024
Experimental gene therapy for giant axonal neuropathy shows promise in NIH clinical trial
An investigational gene therapy for a rare neurodegenerative disease that begins in early childhood, known as giant axonal neuropathy (GAN), was well tolerated and showed signs of therapeutic benefit in a clinical trial led by the National Institutes of Health (NIH). Currently, there is no treatment for GAN and the disease is usually fatal by 30 years of age. Fourteen children with GAN, ages 6 to 14 years, were treated with gene transfer therapy at the NIH Clinical Center and then followed for about six years to assess safety. Results of the early-stage clinical trial appear in the New England Journal of Medicine.
The gene therapy uses a modified virus to deliver functional copies of the defective GAN gene to nerve cells in the body. It is the first time a gene therapy has been administered directly into the spinal fluid, allowing it to target the motor and sensory neurons affected in GAN. At some dose levels, the treatment appeared to slow the rate of motor function decline. The findings also suggest regeneration of sensory nerves may be possible in some patients. The trial results are an early indication that the therapy may have favorable safety and tolerability and could help people with the rapidly progressive disease.
“One striking finding in the study was that the sensory nerves, which are affected earliest in GAN, started ‘waking up’ again in some of the patients,” said Carsten G. Bonnemann, M.D., senior author and chief of the Neuromuscular and Neurogenetic Disorders of Childhood Section at the National Institute of Neurological Disorders and Stroke (NINDS), part of NIH. “I think it marks the first time it has been shown that a sensory nerve affected in a genetic degenerative disease can actually be rescued with a gene therapy such as this.”
Participants in this “first-in-human” trial, which began in 2015, received a single dose of the gene therapy, called scAAV9/JeT-GAN, through an injection into the fluid surrounding the spine. The first two patients received the lowest dose of the gene transfer, which was increased in subsequent patients. Four dose levels were tested over the course of the trial, which were estimated based on results from studies in animal models. Only one serious adverse event – a fever – was potentially linked to the gene therapy. The treatment resulted in 129 related adverse events of lesser seriousness, including headache, back pain, irregular heart rhythms, and inflammation in spinal fluid that was treated with corticosteroids. Two patients who were older and received the lowest-dose therapy died during the study period due to events related to their underlying disease.
In addition to safety, Dr. Bonnemann and his colleagues also assessed motor function scores and tests of nerve function among the study participants. With increasing dose levels, they found the probability of any slowing of motor decline was 44%, 92%, 99%, and 90%, respectively. As GAN progresses, electrical measures of sensory nerves decline and eventually disappear. With gene therapy, 6 of 14 patients regained sensory nerve response after treatment—electrical measures increased, stopped declining, or became measurable after being absent.
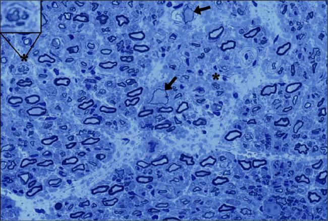
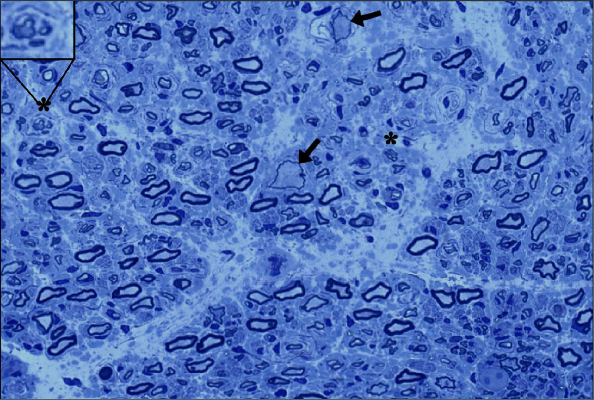
Mutations to the GAN gene result in an inability to break down intermediate filaments, which are cellular structures that make up the framework of nerve cell extensions called axons. Axons are essential for transmission of signals between brain cells. The disease name refers to the enlarged and bloated appearance of the axon under the microscope. As GAN progresses, the axons of motor and sensory nerves break down, resulting in difficulty with movement and sensation because nerve cells cannot communicate with each other.
The first symptoms of GAN are often a clumsy and unsteady gait, becoming evident as early as 2 or 3 years of age. The disease progresses so that by age 8 or 9, patients typically require the use of a wheelchair, followed by increasingly limited use of the arms and little to no use of their legs. In the later stages, people with GAN often require breathing assistance and a feeding tube.
This trial could also benefit gene therapy for other diseases. Researchers testing other gene therapies have already adopted direct administration into the spinal fluid, which requires lower doses compared to usual delivery into the bloodstream by vein. Injecting into the spinal fluid also reduces the likelihood of an immune response, which enables patients who have developed immunity to adeno-associated virus (AAV), the common virus used as the gene delivery system in the therapy, to potentially receive treatment. Previously, children carrying antibodies to AAV from natural exposure to the virus would have been excluded from gene therapy because of their immune reaction.
Scientists will continue evaluating the scAAV9/JeT-GAN therapy to refine the treatment. Next, investigators plan to test whether the GAN gene transfer is more effective when given to younger children or those in an earlier stage of the disease. The next phase of the trial will help to further determine its safety and efficacy.
The study was supported by NINDS and the National Institute of Arthritis and Musculoskeletal and Skin Diseases, Hannah’s Hope Fund, Taysha Gene Therapies Inc., Bamboo Therapeutics/Pfizer Inc., Child Neurology Society, and the American Society of Gene and Cell Therapy. Hannah’s Hope Fund was integral in the development of the therapy, which was then advanced through collaborative efforts involving academia, industry, and government organizations. Clinical trial: NCT02362438
NINDS is the nation’s leading funder of research on the brain and nervous system. The mission of NINDS is to seek fundamental knowledge about the brain and nervous system and to use that knowledge to reduce the burden of neurological disease.
About the National Institutes of Health (NIH): NIH, the nation's medical research agency, includes 27 Institutes and Centers and is a component of the U.S. Department of Health and Human Services. NIH is the primary federal agency conducting and supporting basic, clinical, and translational medical research, and is investigating the causes, treatments, and cures for both common and rare diseases. For more information about NIH and its programs, visit www.nih.gov.
NIH…Turning Discovery Into Health®
Bharucha-Goebel, DX, et al., Intrathecal Gene Therapy for Giant Axonal Neuropathy. NEJM. 21 March 2024. DOI: 10.1056/NEJMoa2307952
Institute/Center
Contact
301-496-5751
