Biomarker tracks recovery from depression
September 26, 2023
Biomarker tracks recovery from depression
At a Glance
- Researchers identified a unique pattern of brain activity, a “biomarker,” that can detect a patient’s response to deep-brain stimulation for treating severe depression.
- If confirmed in larger studies, the findings could help guide treatment strategies.
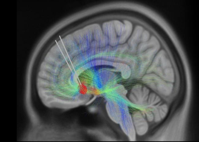
For most people with depression, taking antidepressant drugs provides relief. But some still struggle with depression even after trying two or more medications. For these patients, an experimental therapy called deep-brain stimulation (DBS) can sometimes help. The technique involves surgically implanting thin metal electrodes into specific brain regions. Electrical impulses are then delivered to modify brain activity.
Currently, there are no brain-based biomarkers that can objectively assess the effectiveness of DBS therapy or guide treatment decisions. Instead, clinicians use trial and error to make adjustments. It can take weeks or months until such changes have a noticeable effect on symptoms. So it’s hard to tell how well the treatment is working.
A team of NIH-supported scientists aimed to find a more quantitative way to measure treatment success. Led by Drs. Christopher Rozell of Georgia Institute of Technology and Helen Mayberg of the Icahn School of Medicine at Mount Sinai, the team tested a new brain-stimulating device that can also record nearby electrical activity in patients’ brains. They hoped to identify electrical activity that might serve as a biomarker of recovery.
The pilot study enrolled 10 adults, from 28 to 67 years old, with treatment-resistant depression. All received DBS with the new device for six months. The researchers used artificial intelligence (AI) tools to analyze brain activity collected from the six patients who had usable data. Video recordings were also made of participants during weekly clinical interviews. Results were published in Nature on September 20, 2023.
By the end of the study, nine of the ten patients had significant improvement in depression symptoms. Seven were in remission, or no longer depressed. With this high response rate, researchers were able to look back and examine each brain’s differing reactions to DBS over time.
The AI analysis identified a subtle but unique pattern of brain activity that correlated with the patients’ symptoms. In one patient, the researchers used the biomarker to retrospectively assess when the patient fell back into a major depressive episode. The biomarker identified this relapse four weeks before it was noticed during clinical interviews. In other patients, the biomarker could distinguish between temporary mood changes and a sustained downturn that might require a DBS adjustment and extra clinical care.
To gain insights into the brain area that was targeted by the DBS therapy, the team analyzed MRI data from brain scans collected before surgery. Damage to the white matter in these regions was linked to longer recovery times.
AI tools were also used to analyze participants’ facial expressions during clinical interviews. This analysis identified expression patterns that coincided with transitions from illness to stable recovery. More research is needed to test whether such video analysis can reliably predict current and future disease states.
The scientists are now working to confirm their findings in a second set of patients. Future studies will continue to explore the effects of DBS on depression with more advanced devices to study the neural basis of moment-to-moment changes in mood.
“This biomarker suggests that brain signals can be used to help understand a patient’s response to DBS treatment and adjust the treatment accordingly,” says Dr. Joshua A. Gordon, Director of NIH’s National Institute of Mental Health. “The findings mark a major advance in translating a therapy into practice.”
Related Links
- Stroke Patients May Benefit from Brain Stimulation
- Relieving Treatment-Resistant Depression in Older Adults
- Neural Signature Predicts Antidepressant Response
- Depression
- Brain Stimulation Therapies
References
Cingulate dynamics track depression recovery with deep brain stimulation. Alagapan S, Choi KS, Heisig S, Riva-Posse P, Crowell A, Tiruvadi V, Obatusin M, Veerakumar A, Waters AC, Gross RE, Quinn S, Denison L, O'Shaughnessy M, Connor M, Canal G, Cha J, Hershenberg R, Nauvel T, Isbaine F, Afzal MF, Figee M, Kopell BH, Butera R, Mayberg HS, Rozell CJ. Nature. 2023 Sep 20. doi: 10.1038/s41586-023-06541-3. Online ahead of print. PMID: 37730990.
Funding
NIH’s BRAIN Initiative; National Science Foundation; Hope for Depression Research Foundation; James S. McDonnell Foundation; Julian T. Hightower Chair at Georgia Tech.
