"Slow" vaccine delivery improves immune response to HIV
October 25, 2022
"Slow" vaccine delivery improves immune response to HIV
At a Glance
- An experimental HIV vaccine, delivered as increasing doses over several days, led to long-lasting and diverse antibody production in monkeys.
- The findings could have implications for the development of vaccines against other rapidly evolving pathogens, such as the influenza virus or SARS-CoV-2.
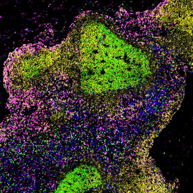
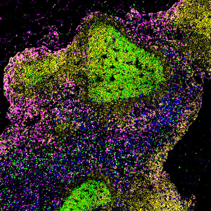
Your body's immune system has many elaborate processes to help fight disease-causing microbes. Some immune cells can form temporary antibody-producing factories called germinal centers within lymph nodes. Germinal centers are protected spaces where B cells, which produce antibodies, can mature, multiply, and continuously evolve. This process improves their ability to make more effective and diverse antibodies that can bind and block foreign invaders.
Germinal centers often have a fleeting existence. Studies have found that the centers are often dismantled about six weeks after first exposure to foreign proteins. This pauses the evolution of new and diverse B cells that could potentially beat back new virus variants.
A team led by Dr. Shane Crotty of the La Jolla Institute for Immunology suspected that the life of germinal centers might be prolonged by modifying how vaccines are delivered. They previously found that giving increasing doses of HIV vaccines over several days could lead to more diverse and robust immune responses than single doses. If slow-dosing leads to longer-lasting germinal centers, B cells could have more opportunity to evolve and better bind to different regions of foreign proteins, known as antigens.
To test this idea, research collaborators at a primate center gave eight rhesus monkeys a series of seven shots of HIV antigen. Shots were given every other day, with increasing doses, for a total of 12 days. Four of the monkeys received a booster shot at week 10 of the study; the others received a booster at week 30. A comparison group of six monkeys received a conventional single dose of vaccine at the start of the study and a booster shot 10 weeks later. Results were reported in Nature on September 22, 2022.
The researchers found that germinal centers for the HIV antigen in the slow-dosed monkeys persisted for at least six months, with B cells continuing to evolve and improve.
In conventionally immunized monkeys, germinal center B-cell binding to the HIV antigen peaked at week 3 and then declined. In contrast, such binding in slow-dosed monkeys remained on the rise. By week 10, the slow-dosed monkeys had 186 times the number of germinal center B cells targeted to HIV antigens compared to the conventionally immunized monkeys.
A single booster shot given to some monkeys at week 10 led to an increase in HIV-neutralizing antibodies. But the slow-dosed monkeys that did not receive a boost at that time saw further improvements to antibody quality and quantity over time. These monkeys, who received a booster at 30 weeks, had even greater levels of neutralizing antibodies, better memory B cells, and more diverse antibodies six months after the initial shots.
The findings suggest that a delay in booster shots, along with slow dosing, might make for more effective vaccines against fast-evolving viruses, including influenza and SARS-CoV-2.
"You want to get the immune response started, and then let it do its job. Let it try and undergo as much antibody evolution as it can before you come back with a booster immunization," Crotty says. "This shows that the immune system can do really extraordinary things if you give it the opportunity€”and that in some vaccine contexts, patience really is a virtue."
€”by Vicki Contie
Related Links
- COVID-19 immune response improves for months after vaccination
- Lasting immunity found after recovery from COVID-19
- Understanding recurrent tonsillitis
- Insights into Immune Cell Matchmaker Protein
References
Long-primed germinal centres with enduring affinity maturation and clonal migration. Lee JH, Sutton HJ, Cottrell CA, Phung I, Ozorowski G, Sewall LM, Nedellec R, Nakao C, Silva M, Richey ST, Torre JL, Lee WH, Georgeson E, Kubitz M, Hodges S, Mullen TM, Adachi Y, Cirelli KM, Kaur A, Allers C, Fahlberg M, Grasperge BF, Dufour JP, Schiro F, Aye PP, Kalyuzhniy O, Liguori A, Carnathan DG, Silvestri G, Shen X, Montefiori DC, Veazey RS, Ward AB, Hangartner L, Burton DR, Irvine DJ, Schief WR, Crotty S. Nature. 2022 Sep;609(7929):998-1004. doi: 10.1038/s41586-022-05216-9. Epub 2022 Sep 21. PMID: 36131022.
Funding
NIH's National Institute of Allergy and Infectious Diseases (NIAID); Bill and Melinda Gates Foundation; Collaboration for AIDS Vaccine Discovery.
